天文館・天文館通で歯科・歯医者をお探しなら

〒892-0843 鹿児島市千日町1-1センテラス天文館4階
鹿児島市電 天文館通駅徒歩2分

診療時間 土祝
9:30~13:30

× ×
14:30~18:30 × ×

休診日:水曜・日曜

▲:9:30~13:30/14:30~17:30

ご予約・お問い合わせはこちら

0120-38-6480

当院の
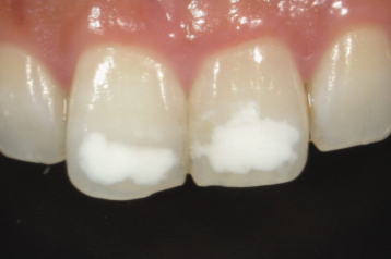
ホワイトスポット(ICON)

ホワイトスポット治療
(ICON)とは?

ホワイトスポットは、初期の虫歯やエナメル質の成長過程での変化によって現れる、歯の表面の白く濁ったような斑点のことです。従来は削って詰める治療が主流でしたが、その方法では健康な歯質まで削る必要がありました。

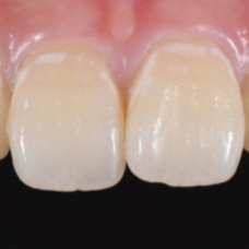
ICON(アイコン)なら、大切な歯を削ることなく治療が可能です。薬剤を浸透させるだけで気になる白い斑点を目立たなくし、自然で美しい歯の色に近づけられます。

こんな方におすすめ

  • 前歯の白い斑点が気になっている
  • ホワイトニングをしても白い部分が目立ってしまう
  • 結婚式や大切なイベント前に笑顔に自信を持ちたい
  • 健康な歯をできるだけ削りたくない

当院のホワイトスポット(ICON)

痛みの少ない
ホワイトスポット治療

「歯を削るのは抵抗がある」「痛い治療は避けたい」そのような方にICON(アイコン)がおすすめです。

専用の薬剤を浸透させることで、歯を自然な色調に近づける新しいアプローチで、従来のように健康な歯を削る必要がないため、歯へのダメージを最小限に抑えられます。

麻酔もほとんど使わず、痛みや不快感が少ないので、歯科治療が苦手な方でも安心して受けていただけると思います。

初期の虫歯やホワイトスポットに対して、自分の歯をできるだけ守りながら治療したい。なるべく自然な方法で美しく整えたい。そういった思いに応える、体にやさしい治療法です。

短時間で完了しやすい
シンプルな処置

ICON(アイコン)は、多くの場合1回の来院で治療が完了するスピーディーな治療法です。複雑な工程が少なく、歯を削る必要もないため、短時間で処置が進みます。

お仕事や家事、育児などで忙しい毎日を送る方にとって、何度も通院する必要がないのは大きなメリットです。スケジュールに合わせて無理なく処置を受けていただきたく思います。

処置後はすぐに歯のホワイトスポットが目立ちにくくなり、自然な仕上がりを実感できます。長期間の治療を覚悟する必要がなく、思い立ったときに気軽に始められる点も魅力です。

笑顔が輝く自然な仕上がり

ICON(アイコン)の魅力は、健康な歯の色に自然になじむ仕上がりです。処置後はすぐに歯のホワイトスポットが目立ちにくくなり、色のムラが整うのを実感いただけます。

ホワイトスポットが改善されると、歯全体の透明感とツヤが戻ってきます。その結果、健康的で清潔感のある印象に。「白くしたいけれど、不自然な仕上がりは避けたい」という方にもぴったりの治療法です。

鏡を見るたびに、歯の美しさがよみがえったと感じていただけるでしょう。会話や写真撮影の際も、白い斑点を気にすることなく自然な笑顔を見せられます。

専門的な診断で、
より安心のホワイトスポット治療

歯の表面に現れるホワイトスポット(白い斑点)は、見た目は似ていても原因や適切な治療法は一人ひとり異なります。

エナメル質の形成不全によるものなのか、初期虫歯の兆候なのか。この見極めを誤ると、せっかくの治療も思うような効果が得られません。

だからこそ、歯科医師による専門的な診断が治療の第一歩となるのです。

当院では、患者さまの歯の状態を丁寧に診断。その上で、歯を削らずに白い斑点を改善できるICON(アイコン)治療など、それぞれの症状に適した治療方法をご提案しています。

「歯を削らずに見た目をきれいにしたい」とお考えの方は、ぜひ一度ご相談いただければと思います。

ホワイトスポット(ICON)の
種類・料金

ホワイトスポット治療
(ICON)

ホワイトスポット(歯の表面の白く濁ったような斑点)を改善する治療法です。

特殊な薬剤を歯の表面に浸透させ、内部の光の屈折を整えることで自然な色調に近づけます。

1歯 22,000円

治療の期間・回数:1回
リスクや副作用:治療直後にわずかな知覚過敏を感じることがあります。白濁の改善度に個人差が出る場合があります。

※金額は税込み表記です。

よくあるご質問

治療は痛くありませんか?

ICON(アイコン)は歯を削らずに薬剤を浸透させて、歯を自然な色調に近づける治療法です。そのため、麻酔が不要なケースがほとんどです。痛みが少なく、処置中の不快感もほぼありません。歯科治療が苦手な方でもリラックスして受けていただけると思います。

ホワイトニングとの違いは
何ですか?

ホワイトニングは歯全体を白くする方法ですが、ICON(アイコン)はホワイトスポット(歯の表面の白く濁ったような斑点)を改善する治療です。つまり、両者の目的や効果はそれぞれ異なります。

両方を組み合わせる施術も可能ですので、詳しくはご相談ください。

治療後はどのくらい持ちますか?

効果の持続には個人差があります。日常的な歯磨きをしっかり行い、定期的な歯科検診を受けることで長持ちしやすくなります。

ホワイトスポット
(ICON)の流れ

カウンセリング・診断

歯科医師がお口の中を丁寧に確認し、ICONが適応できるか診断します。

前処置
(クリーニングなど)

歯の表面をきれいに整え、薬剤がしっかり浸透するよう準備をします。

薬剤の塗布

ホワイトスポット部分に専用の薬剤を浸透させ、白い部分を目立ちにくくします。

仕上げ・確認

自然な色調になじんでいるかを確認し、必要に応じて追加処置を行います。

メインテナンス

治療後も定期的な検診で経過をチェックし、歯を健康に保ちます。

検診・歯石取り・歯のクリーニング・フッ素塗布などもご予約いただけます。3か月先のご予約もお気軽にどうぞ。

0120-38-6480

診療時間

  土祝
午前 × ×
午後 × ×

午前:9:30~13:30
午後:14:30~18:30
休診日:水曜・日曜午後
▲:9:30~13:30/14:30~17:30

0120-38-6480

〒892-0843
鹿児島市千日町1-1センテラス天文館4階
鹿児島市電 天文館通 徒歩2分

天文館セントラル歯科・矯正歯科では一緒に働いてくださる仲間を募集中です!