天文館・天文館通で歯科・歯医者をお探しなら

〒892-0843 鹿児島市千日町1-1センテラス天文館4階
鹿児島市電 天文館通駅徒歩2分

診療時間 土祝
9:30~13:30

× ×
14:30~18:30 × ×

休診日:水曜・日曜

▲:9:30~13:30/14:30~17:30

ご予約・お問い合わせはこちら

0120-38-6480

診療のご案内

診療時間:9:30~13:00/14:30~18:30
※土日の診療あり(日曜は隔週で午前中診療)
※祝日の診療は不定期であり
※完全予約制

「寝たきりのない社会の実現」

当院では「より美しく、より健康でありたいと願うあなたのために」をモットーに、患者さまとのコミュニケーションを大切にした治療をご提供しています。お口の中でお困りのことがございましたら、お気軽にご相談ください。

診療メニュー

しみにくく痛みが出にくい「ビヨンドホワイトニング」を使ったホワイトニングを行っています。

最新機器「セレック・システム」を導入し、コンピューターで詰め物・被せ物の設計と製作を行っています。最短1日での治療が可能です。

年間400症例を超える実績をもとに、マウスピース矯正などの治療法をご提案いたします。

短時間で手軽にできるホワイトニングです。しみたり痛んだりする心配がなく、気軽に歯を白くできます。

耳のツボに小さなジュエリーを装着することで、健康と美容の両方の効果が期待できます。

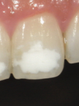
歯の表面にある白い斑点を、歯を削らずに改善する治療法をご提供しています。

検診・歯石取り・歯のクリーニング・フッ素塗布などもご予約いただけます。3か月先のご予約もお気軽にどうぞ。

0120-38-6480

診療時間

  土祝
午前 × ×
午後 × ×

午前:9:30~13:30
午後:14:30~18:30
休診日:水曜・日曜午後
▲:9:30~13:30/14:30~17:30

0120-38-6480

〒892-0843
鹿児島市千日町1-1センテラス天文館4階
鹿児島市電 天文館通 徒歩2分

天文館セントラル歯科・矯正歯科では一緒に働いてくださる仲間を募集中です!